Fig. 1

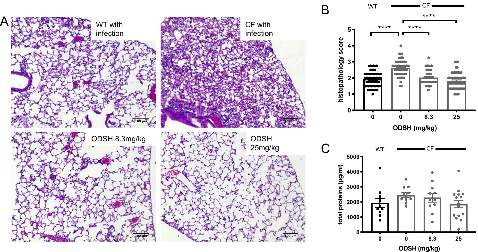
ODSH attenuates lung injury in CF with PA infection. C57BL/6 mice (WT) and CFTR−/− mice (CF) were intratracheally inoculated with Pseudomonas aeruginosa (PA) at T = 0 and were randomized to receive via i.p. administration of saline or ODSH at 8.3 or 25 mg/kg at T = 0 and T = 12 h. 18 h post PA inoculation (T = 18 h), mouse lungs were perfused with 4% formaldehyde and harvested from the mice, followed by paraffinization, tissue sectioning and H&E staining. A Histological analysis was performed and the B level of lung injury was scored. C Bronchoalveolar lavage fluid (BAL) was collected 18 h after infection and was analyzed for total protein content by bicinchoninic acid assay (BCA), which serves as a marker of lung injury. Data represent mean ± SEM of three independent experiments (n = 10–14 mice) for each group. One-way ANOVA was used for multiple group comparison to determine statistical significance between control CF group and other groups. ****, P < 0.0001 compared to the control CF mice administered with saline